里程碑
G-Branch™全国多中心注册临床(GUARANTEE Study)首例入组圆满成功
日前,九州ku酷游科技自主研发的G-Branch™胸腹主动脉覆膜支架系统(以下简称“G-Branch™”)正式启动中国多中心注册临床试验(GUARANTEE Study,注册号:NCT05054985)。该临床试验由解放军总医院第一医学中心血管外科郭伟教授担任主要研究者(PI),以评估G-Branch™胸腹主动脉覆膜支架系统治疗胸腹主动脉瘤的安全性和有效性。
11月12日,郭伟教授及其团队成功完成首例受试者入组,目前患者已顺利出院。这是临床医生和研发团队多年紧密合作,在该产品的临床应用上取得的又一重大里程碑。它将改变我国胸腹主动脉瘤的治疗现状,标志着我国全腔内重建内脏动脉分支血管的新技术、新器械向前迈进了突破性的一大步。

匠心研发
简单高效的内脏分支重建解决方案
胸腹主动脉瘤是死亡率极高的疾病,其发病率约占全部主动脉瘤样扩张病变的7%-15%,如未及时治疗,2年和5年死亡率分别为约76%和95%[1]。由于胸腹主动脉瘤病变范围累及广且处理复杂,涉及到胸腔、腹腔以及胸腹联合部位的重要内脏分支的腔内重建,是EVAR/TEVAR等腔内技术面临的重大挑战。
采用传统开放手术治疗胸腹主动脉瘤通常需要胸腹联合切口,创伤大,内脏动脉重建复杂,心肺并发症高,死亡率高,并且患者预后与术者的熟练程度密切相关。目前在中国,全腔内治疗胸腹主动脉瘤的技术尚未完全开展。
基于亟待满足的临床治疗需求,九州ku酷游科技与郭伟教授历经数年探索改进,共同研发了G-Branch™,用于胸腹主动脉瘤全腔内修复,该产品的研发问世,填补了我国在该治疗领域的空白。同时,由于该产品卓越的创新性,2021年11月9日获批进入国家药品监督管理局“创新医疗器械特别审查程序”(绿色通道)。
G-Branch™主体支架包含2个内嵌分支和2个外翻分支,可在完全微创腔内技术下进行分支血管重建,维持各脏器持续血供。这一创新设计,有效降低了内漏发生风险以及手术操作难度。同时,G-Branch™适应症广泛,可用于解剖结构更为复杂的病例,其主体支架的近、远端均可针对病变位置情况进行延长,其配套的外周支架可适用于不同直径的内脏分支,从而满足不同的临床治疗需求,为胸腹主动脉瘤的多分支腔内重建这一国际性难题提供了灵活有效的解决方案。
此前,G-Branch™ 的FIM临床研究已顺利完成。术后六个月及术后一年的随访结果均显示:受试者状态良好,未发生内漏、支架移位及分支血管狭窄或闭塞,初步证明了G-Branch™治疗胸腹主动脉瘤的安全性和有效性。

临床应用
开启腔内重建内脏分支动脉新时代
首例受试者入组病例介绍
患者男,71岁,EVAR术后I型内漏,腹痛1月余,胸腹主动脉瘤先兆破裂
既往史:
EVAR术+肾动脉烟囱支架植入术后5年,高血压病史10年,冠心病20余年,肾功能不全

手术策略:
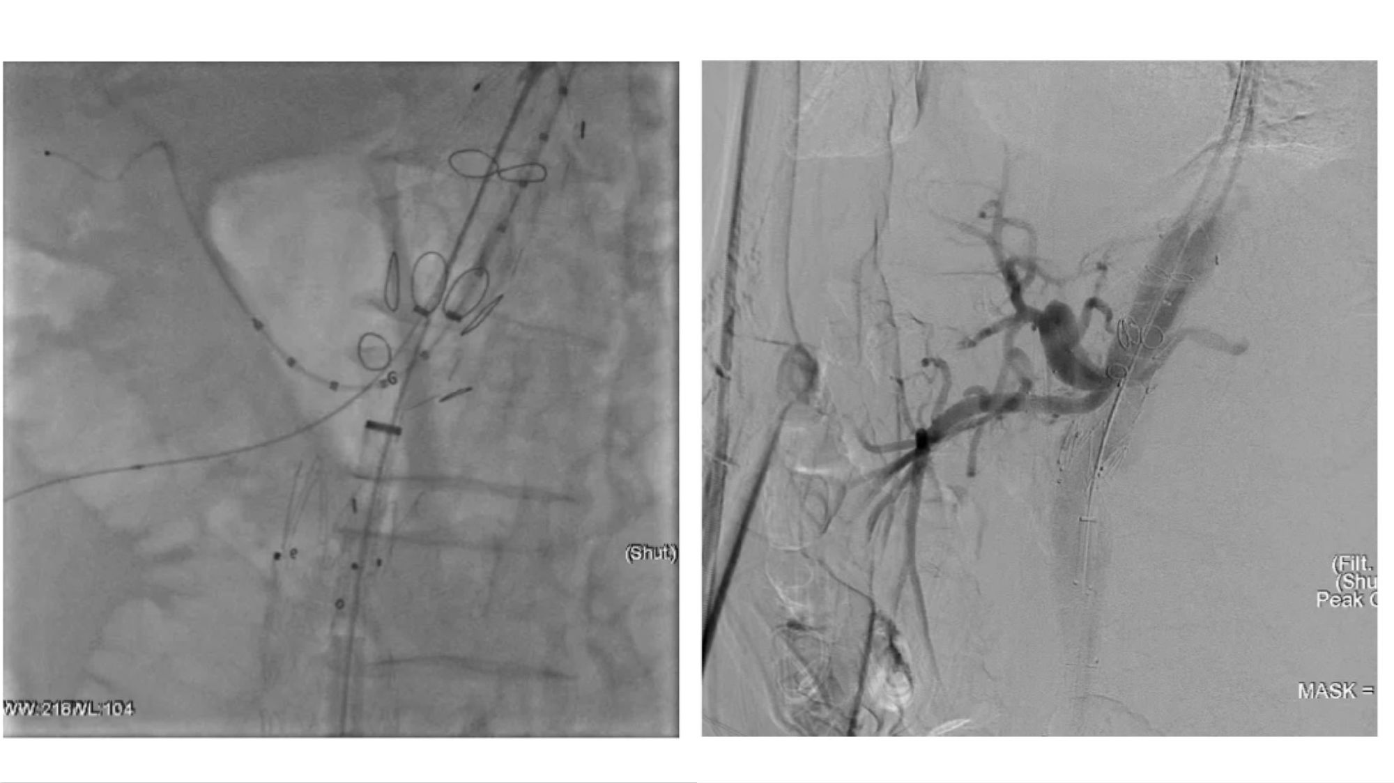
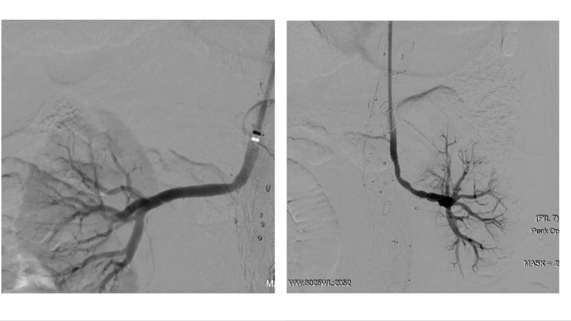
使用G-Branch™胸腹主动脉覆膜支架系统延长近端锚定区,腔内重建腹腔干、肠系膜上动脉及双肾动脉。
手术过程:

腔内重建腹腔干和肠系膜上动脉

腔内重建右肾和左肾动脉
(右肾开口处重度狭窄,左肾烟囱支架术后增加了手术难度)
术后造影及出院前随访:
患者胸腹主动脉瘤隔绝完全,支架位置及形态良好,各分支动脉重建后血流通畅,无内漏发生。

术后点评:
术后,郭伟教授表示:“该患者为胸腹主动脉瘤先兆破裂急诊入院,既往EVAR术+肾动脉烟囱支架植入,肾动脉开口狭窄、病情危重,手术难度大。在急诊状况下应用G-Branch™及时重建了内脏动脉和肾动脉,让因I型内漏引起的濒临破裂的动脉瘤及时得到救治,这彰显了G-Branch非定制设计的优越性。混合内嵌分支设计理念的优越性在这例病变中得到了很好的呈现,在修复动脉瘤的同时最大化减少主动脉覆盖,从而有效降低截瘫并发症的发生风险。”
目前,内脏分支动脉的腔内重建是胸腹主动脉瘤微创治疗的技术高地,也是充满挑战的国际性难题。G-Branch™ 胸腹主动脉覆膜支架系统的应用,为该难题提供了更为优秀的解决方案,标志着我国在该领域已达到国际领先水平。随着国内多中心注册临床的稳步推进,未来将会有更多循证医学证据予以支撑该腔内重建内脏动脉分支血管的新技术、新方法,并期待其能够早日让中国患者获得更大临床受益。
受试者招募
适应症:诊断为胸腹主动脉瘤的患者。
主要入选标准
(1)18到80周岁,性别不限;
(2)诊断为胸腹主动脉瘤的患者。
主要排除标准
(1)6个月内有急性冠脉综合征病史的患者;
(2)3个月内有短暂性脑缺血发作(TIA)或缺血性脑卒中的患者;
(3)肝肾功能异常的患者[谷丙转氨酶(ALT)或谷草转氨酶(AST)>正常上限值5倍;血清肌酐(Cr)>150umol/L];
(4)计划怀孕、妊娠期或哺乳期女性;
(5)参加了其它临床试验的患者。
风险及保障
(1)如果符合入组,免费提供胸腹主动脉覆膜支架系统用于手术治疗;
(2) 与研究相关的检查费用免费提供;
(3)本研究提供一定的交通补贴,在完成术后一年随访时提供;
(4)本研究已为受试者购买保险。
参考文献
DAVID J K, BORNSTEIN S S, MYERS L G J P. Abdominal aortic aneurysm[J]. Proceedings, 2000, 13(1): 89.